Our Westfield General Dentistry
With high-quality cosmetic and restorative
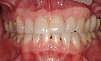
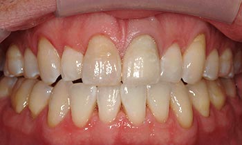
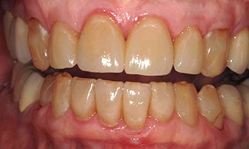
With high-quality cosmetic and restorative treatments, Dr. Weinman creates beautiful smiles in Westfield. Look through photos of actual patient results below, then call our Westfield dental office to schedule your consultation. We'd love to get started on your dream smile!
Expert care with a gentle touch. Are you ready to experience excellent, personalized dentistry? Then schedule your consultation with Dr. David Weinman by calling our Westfield, NJ dental office at 908-654-7200. Our Westfield cosmetic dentistry practice services patients from Scotch Plains, Fanwood, Cranford, Mountainside and surrounding areas. Dr. Weinman and our team look forward to meeting you and making you smile.
- Smile Makeovers
- General Dentistry
- Porcelain Crowns
- Full Mouth Rehabilitation
- Spark Clear Aligners
- Veneers
- Dental Implants
Westfield General Dentistry
before
after
before
after
before
after
before
after
before
after
before
after
before
after
before
after
before
after
before
after
before
after
